Our Services
Our Services
12-lead Resting ECG
An electrocardiogram or ECG is a quick and painless test where an ECG machine is connected to a patient's chest through electrode stickers in order to record the heart's electrical activity.
Graded Exercise Test (GXT)
A Graded Exercise Test, often referred to as Stress Test, is used to determine how exercise affects your heart. It involves walking on a treadmill while monitoring your electrocardiogram.
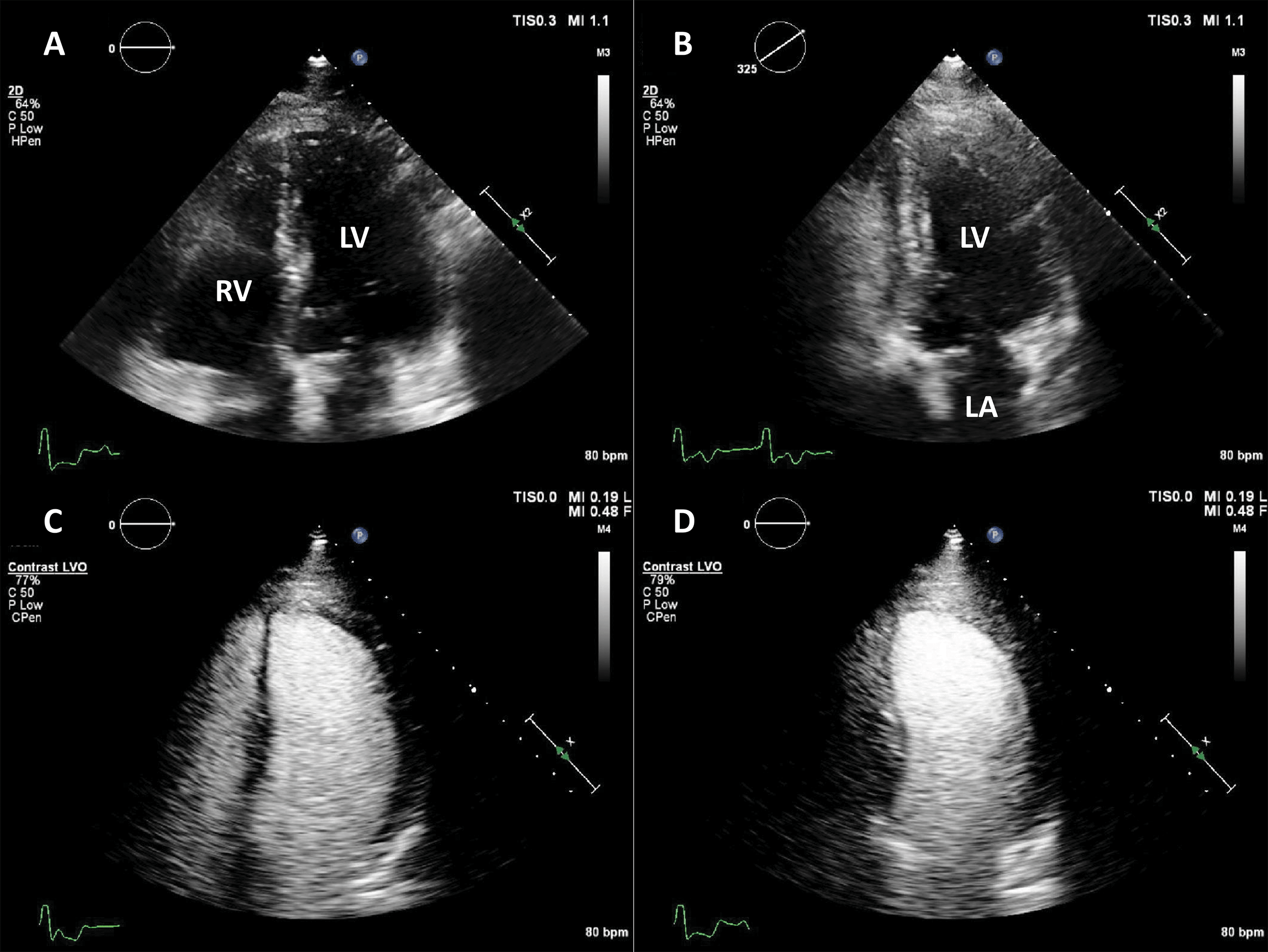
Transthoracic Echocardiogram (TTE)
An echocardiogram is a test that records still or moving images of the internal structures of your heart by utilizing ultrasound technology.
Patch Holter Monitor
The Patch Holder monitor is a long-term ECG monitor that can record every beat of your heart up to 14 days. It is comfortable, lightweight, and water resistant so that your normal routine is uninhibited for the duration of your test.
Stress Echo
A stress echocardiography test, or sometimes known as a “stress echo”, is a combination of a stress test along with an echocardiogram of your heart. Its main purpose is to assess the wall motion of your heart in response to physical stress (on the treadmill).

Contrast Echocardiogram/Stress Echocardiogram
Ultrasound contrast agent is used for patients with suboptimal echocardiogram images. This helps physicians to accurately interptret the images. The contrast agent used is NOT a dye (i.e non-iodinated) and does NOT affect the kidneys. You are able to drive after the test.